Home
Servicii
Aparatura
Cazuri
Ortodontie
Preturi
Doctori
Contact
Sunati-ne/call us:
+40724718821
Cazul 1
Inainte
Dupa
Cazul 2
Inainte
Dupa
Cazul 3
Inainte
Dupa
Cazul 4
Inainte
Dupa
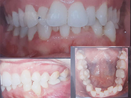
Cazul 5
Indreptarea dintilor